今回は、30年以上という長きにわたり歯周病に悩み、他院からのご紹介で来院された60代女性の症例をご紹介します。
長年にわたる治療の努力にもかかわらず、これ以上の改善は難しいと診断され、不安を感じていた患者さんが、近年注目されている歯周病治療「ブルーラジカル」に取り組むことで、症状の改善が見られた経過について詳しくご紹介します。
https://youtu.be/d71XJzHgRHU?si=OzZdYEyrGzSB4Ejx
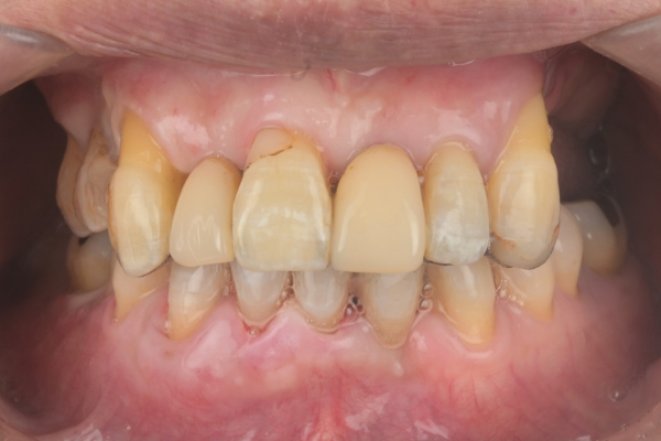
【術前】

【術後】

1. 患者さんのご紹介(主訴・お悩み)
患者さんは60代の女性です。30代の頃から歯周病の治療を続けてこられましたが、「腫れては膿が出る、少し落ち着いてはまた再発する」というサイクルを30年以上繰り返していました。
これまでに患者さんは、歯を失わないために多大なる努力をされてきました。
● 矯正治療
歯周病の悪化を防ぐための咬合改善
● ナイトガード
夜間の歯ぎしり・食いしばりによる負担軽減
● 徹底したセルフケア
毎日の丁寧なブラッシングとフロスの使用
これほど真摯に治療に向き合ってこられたにもかかわらず、かかりつけ医からは「これ以上進行を止める手立てはなく、いずれ歯がなくなって入れ歯になる」と告げられてしまったそうです。
初診時、歯科衛生士に対し「こんなお口を見せるのが恥ずかしい……」と俯きながら話されていた姿が印象的でした。長年の悩みは、お口の健康だけでなく、患者さんの心にまで深いコンプレックスを植え付けていたのです。
そんな折、かかりつけ医より「世界初の殺菌技術を用いた治療法がある」と聞き、一縷の望みをかけて当院を受診されました。
2. ご来院時の状態と診断
精密検査(パノラマX線写真、口腔内写真、歯周病精密検査)を行った結果、以下の状態が確認されました。
●歯周ポケットの深化
最大で10mmに達する非常に深いポケットが複数箇所に認められました。
●慢性的な排膿
歯肉に強い炎症があり、圧迫すると膿が出る状態でした。
●歯の動揺
特に下顎の前歯はグラつきが激しく、ワイヤーで隣の歯と連結固定しなければ維持できない状態でした。
●セルフケアの状態
驚くべきことに、TBI(ブラッシング指導)の必要がないほど、患者さんのセルフケアは完璧でした。
歯と歯ぐきの間の溝のこと。健康な状態は2〜3mmですが、6mm以上は「重度歯周病」と診断されます。10mmという数値は、歯の根の先端近くまで歯周病菌が侵入し、骨を溶かしている深刻な状態を指します。
Tooth Brushing Instructionの略で、歯科衛生士によるブラッシング指導のことです。
診断の結果、原因はケアの不足ではなく、「従来の治療では除去しきれなかった深層の歯周病菌」と、元々の「歯周病になりやすい体質(遺伝的要因や免疫応答の特性)」が複雑に絡み合っているものと考えられました。
3. 治療計画
今回の治療においては、できるかぎり抜歯を避けること、そして患者さんが長年抱えてこられたお口に関するお悩みに対応することが大きな目的でした。そこで、当院が導入している「ブルーラジカル(ラジカル殺菌装置)」を活用した歯周病治療を計画しました。
【治療のステップ】
1.上下顎に分けたブルーラジカル照射
負担を考慮し、2回に分けて全顎の集中殺菌を行います。
2.術後経過のモニタリング
炎症の収束具合と、組織の再付着を確認します。
3.定期的なメンテナンス
減少させた菌数を維持するための管理に移行します。
【当院の強み:ブルーラジカル治療】
厚生労働省の承認を受けた世界初の「ラジカル殺菌」による歯周病治療器です。
3%の過酸化水素(消毒液)に青色レーザーを照射することで「ラジカル」という強力な殺菌因子を発生させ、99.99%という殺菌力で、従従来の器具では届きにくかった歯周ポケットの奥深くに存在する細菌にも作用するとされています。
4. 治療時
治療は、上顎と下顎の2回に分けて実施しました。
従来の歯周病手術(フラップ手術)のように歯肉を切開する必要がないため、身体への負担が少ないのが特徴です。10mmのポケットの奥深くまで専用のチップを挿入し、ブルーラジカルでの殺菌を念入りに行いました。
患者さんは「30年やってきてダメだったものが、本当にこれだけで変わるのか」という不安も抱えていらっしゃいましたが、痛みもほとんどなく、スムーズに照射を終えることができました。
5. 治療後・予後
治療開始から4ヶ月後の再評価では、歯周組織の状態に明らかな変化が確認されました。
● 歯周ポケットの劇的改善
最大10mmあった数値が、なんと4mmまで改善しました。これは、炎症が引いただけでなく、歯ぐきが歯の根に再びしっかりと引き締まった(再付着した)ことを意味します。
● 動揺の消失
ワイヤー固定が必要だった下顎の前歯が、「生理的動揺(健康な歯でも見られるごくわずかな動き)」の範囲内にまで収まりました。
● 炎症と排膿
若干の排膿は見られるものの、全体的な腫れは引き、歯ぐきの色は健康的なピンク色へと回復しました。
【患者さんの変化】
何より大きな変化は、患者さんの表情でした。
初診時の「恥ずかしい」という言葉は消え、「30年間の悩みが、ここまで変わるなんて信じられない」と、明るい笑顔で話してくださるようになりました。
健康な歯であっても、噛む力を分散させるために0.2mm程度のわずかな動きを持っています。これを生理的動揺と呼びます。
【今後の展望】
現在は、良好な状態を維持するためのメンテナンス期間に入っています。30年間のダメージがあるため、今後どこまでこの状態を長期維持できるかは慎重に見守っていく必要がありますが、「抜歯・入れ歯」という最悪のシナリオは回避することができました。
これまで「体質的に難しい」「他の方法はない」とされていた場合でも、新たな医療技術の活用により、異なるアプローチが可能になるケースも見られます。
もし、長年の歯周病でお悩みの方がいらっしゃいましたら、ぜひ一度当院へご相談ください。患者さんの「残したい」という想いに、私たちは全力で応えます。
この症例について相談したい、またはブルーラジカル治療の詳細を知りたい方は、お気軽にお電話、またはWeb予約よりお問い合わせください。
監修:すすむ歯科・矯正歯科
院長 近藤 崇伸
経歴
2002年 愛知県立瑞陵高等学校卒業
2009年 長崎大学歯学部 卒業
名古屋大学医学部歯科口腔外科 入局
2011年 医療法人ナディアパークデンタルクリニック 勤務
2013年 長崎大学大学院医歯薬学総合研究科歯科矯正分野 入局
2016年 長崎大学大学院医歯薬学総合研究科 修了
長崎大学客員研究員・臨床承認医
すすむ歯科・矯正歯科勤務
名古屋、大阪、長崎の複数のクリニックにて矯正治療担当
副院長 近藤 康次
経歴
2009年 私立東海高等学校 卒業
2016年 鹿児島大学歯学部 卒業
名古屋大学医学部附属病院歯科口腔外科 入局
2018年 東海市開業医勤務
2020年 すすむ歯科・矯正歯科勤務