日本矯正歯科学会認定医が行う
エビデンスに基づいた口ゴボ治療

- ☑科学的根拠に基づく分析と治療で再現性の高い仕上がりを実現
- ☑アンカースクリューで歯を三次元的にコントロール
- ☑治療後も5年保証
大きな決断だからこそ、すすむ歯科・矯正歯科にご相談ください

大きな決断だからこそ、すすむ歯科・矯正歯科にご相談ください
初めての歯科医院に行くことや、医院に電話をするのに勇気がいる…。
そんな方のために気軽に相談できる方法として、
写真を添付してLINEで歯並びの相談を受ける「LINE歯並び相談」を行っています。
症状やお悩みについてお伺いしたことや、送っていただいた写真から一人一人に適した具体的な治療法などについて、
歯科医師からLINE上でアドバイスを受けることができます。

当院は、35年以上の長きにわたり地域の皆様の歯の健康をサポートしてきました。日本矯正歯科学会認定医である院長が、口ゴボの治療に関する専門的なカウンセリングを行います。初回のカウンセリングは45分、しっかりとあなたの悩みや疑問をお伺いします。

当院では、歯の位置を整えるだけでなく、口元全体の美しさを追求します。
前歯や口元の問題は多岐にわたりますが、特に前歯が前方に突出している、重なっている、真ん中が大きくずれているなどの症状をお持ちの方は、ぜひすすむ歯科・矯正歯科での詳しい診断を受けてみてください。上顎骨の発育や前歯の位置、傾斜など、それぞれの原因と治療方法を詳しくご説明いたします。
皆様の理想とする笑顔を手に入れるお手伝いをさせていただきます。安心してご相談、治療を受けていただけるよう、心よりサポートいたします。

「口ゴボ」とは、横顔を見たときに上唇から口元全体が前に突き出しているように見える状態のことです。
口ゴボとは、一般的に出っ歯と呼ばれる状態で、口元が前方にモコッと膨らんで見えます。
この状態には主に二つの原因があります。
前歯の位置や傾きが不自然であることに起因します。矯正治療での対応が中心となります。
顎自体が前方に突き出ている状態。歯列矯正と外科矯正の併用が必要な場合もあります。

以下の症状のうち、いくつか当てはまるものがあれば、口ゴボの可能性が考えられます。
セルフチェックをして、自分の状態を確認してみましょう。
これらの症状は、口ゴボの一般的な特徴として挙げられますが、正確な診断の基準ではありません。もし症状に心当たりがある場合、矯正歯科医と相談することをおすすめします。口ゴボと診断された場合、具体的な治療方法を説明してもらえます。
口ゴボは顔の印象を大きく左右します。
不安や恥ずかしさから、他人とのコミュニケーションを避けることも…。
そんなお悩み、日本矯正歯科学会認定医である院長がサポートします。
当院では、科学的な方法に基づき口元を改善する矯正治療を行っています。
口元に関する悩みをお持ちの方は、すすむ歯科・矯正歯科にお気軽にご連絡ください。

| 特徴 | 透明のアライナーを用いて歯の位置を整えます。 取り外し可能で、食事や歯磨き時に非常に便利。 |
|---|---|
| 期間 | 一般的には2~3年 |
| 費用 | 990,000円(税込) |
| 利点 | 透明で目立たない、食事制限なし、食事や歯磨き時に取り外し可能、装置の故障が少ない。 |
| 欠点 | 重度の歯の重なりには不向き、骨格の調整はできない、患者の協力が必要2、場合によってはワイヤー矯正が有効。 |
| 特徴 | 歯の表側にブラケットとワイヤーを取り付け、最も一般的な矯正方法。 |
|---|---|
| 期間 | 1~3年 |
| 費用 | 968,000円(税込) |
| 利点 | 多くの症例に対応可能、歯の三次元移動が可能、発音の影響が少ない、費用が手頃。 |
| 欠点 | 目立つ、唇の動きに制限、装置が粘膜を傷つけることがある、食事時の不便。 |
| 特徴 | 歯の裏側にブラケットとワイヤーを取り付け、装置が外から見えない矯正方法。 |
|---|---|
| 期間 | 1~3年 |
| 費用 | 1,210,000~1,430,000円(税込) |
| 利点 | 高い審美性、矯正中のストレス軽減、外傷が少ない、楽器の演奏に支障なし。 |
| 欠点 | 初めは発音が難しい、歯磨きが難しい、食べ物の取り扱いが難しい、舌に傷がつきやすい。 |
「口元を何ミリ下げられるか」「横顔はどう変わるか」といった不安をお持ちではないですか? 当院では、あなたの歯・骨・顔立ちを3Dデータで再現し、治療のゴールをミリ単位で予測するナビゲーションシステム「Moon Aligner(ムーンアライナー)」を導入しています。

歯の根っこの向き(黄色の矢印)や、骨との位置関係を精密にシミュレーション。根元からの移動を計画します。
| 治療前 | 治療後 |
|---|---|
![]() |
![]() |
![]() |
![]() |
![]() |
![]() |
| 年齢・性別 | 25歳 女性 |
|---|---|
| 主 訴 | 口元が出ている、口が閉じにくい |
| 治療期間 | 3年2か月 |
| 治療費 | 約90万円 |
| 治療内容 | 上下ラビアルと矯正用アンカースクリューを用い、抜歯にて治療しました。 |
| 抜歯部位 | 上顎4番、下顎5番 |
| 一般的なリスク・副作用 |
|
| 治療前 | 治療後 |
|---|---|
![]() |
![]() |
![]() |
![]() |
![]() |
![]() |
| 年齢・性別 | 22歳 女性 |
|---|---|
| 主 訴 | 口元が出ている |
| 治療期間 | 2年8か月 |
| 治療費 | 約110万 |
| 治療内容 | 上下ハーフリンガルと矯正用アンカースクリューを用い、抜歯にて治療しました。 |
| 抜歯部位 | 上顎4番、下顎4番 |
| 一般的なリスク・副作用 |
|
| 治療前 | 治療後 |
|---|---|
![]() |
![]() |
![]() |
![]() |
![]() |
![]() |
| 年齢・性別 | 17歳 女性 |
|---|---|
| 主 訴 | 口元が出ている、口が閉じにくい |
| 治療期間 | 2年10か月 |
| 治療費 | 約100万 |
| 治療内容 | 上下インビザラインとを用い、抜歯にて治療しました。 |
| 抜歯部位 | 上顎4番、下顎4番 |
| 一般的なリスク・副作用 |
|
| 治療前 | 治療後 |
|---|---|
![]() |
![]() |
![]() |
![]() |
![]() |
![]() |
| 年齢・性別 | 16歳 女性 |
|---|---|
| 主 訴 | 口元が出ている、ガタガタしている |
| 治療期間 | 2年8か月 |
| 治療費 | 約95万 |
| 治療内容 | 上下ラビアルを用い、抜歯にて治療しました。 |
| 抜歯部位 | 上顎4番、下顎5番 |
| 一般的なリスク・副作用 |
|
軽度の口ゴボで日常生活に支障がない場合、すぐの治療は必須ではありません。しかし、見た目の悩みや、食事時の不便、発音の問題などがあれば、矯正治療が適しています。
一般的な歯医者でも治療はできますが、仕上がりが変わる可能性があります。矯正治療は非常に専門性が高いため、できれば矯正治療を専門に行っているドクターが良いと思われます。
もちろん大丈夫です。顎の成長や歯の状態に合わせて、適切な治療方針を提案します。
できません。口ゴボの矯正は専門的な技術が要求されるため、自分で治すことは難しいでしょう。不適切な方法は、さらなる問題を引き起こす可能性があります。
治療が可能な場合もあります。出っ歯とは異なる要因で口ゴボが生じることもあります。その原因を特定し、矯正治療を行えば、口ゴボの改善が期待できます。
可能です。
歯並びだけでなく噛み合わせの問題等で口ゴボが発生することがあります。歯並びはきれいに保ちながら、口ゴボを改善する矯正治療も可能です。

Shu-lider研究会HPより引用
当院では、ドイツと日本の研究から生まれたSHU-lider®装置を導入しております。これはアンカースクリューと組み合わせた装置で、国際的な矯正ラボ、ASOインターナショナルとの共同開発により、日本で特許が取得されている装置です。
ワイヤー矯正やインビザラインの装置と組み合わせて使用する必要があります。
この装置はデジタルCAD/CAM技術を駆使して製造され、あらゆる歯の移動に対応可能です。従来の方法と比べ、多くの前歯の問題も効果的に対応できます。
特に、上顎の前歯の問題を改善する際に、犬歯の移動が鍵となります。この装置の使用により、犬歯や大臼歯の確実な移動が実現できます。特定のケースでは、抜歯せずに矯正が可能となり、治療の選択肢が広がりました。
従来の治療法では、ワイヤーの硬さを徐々に変えながら、歯の移動をゆっくりと行っていました。しかし、この方法では無駄な歯の移動や不要な傾斜が生じることがありました。SHU-lider®装置を用いることで、より効率的で確実な矯正が可能となります。
前歯や口元の問題は、犬歯が前方にずれていることが原因となることが多いです。これを解決するには、犬歯を歯冠だけでなく、歯根からしっかりと後方に移動させる必要があります。このとき、2つの移動方法を理解することが重要です。
| 歯体移動 | 犬歯全体を後方に動かす方法 |
|---|---|
| 傾斜移動 | 犬歯の歯冠だけを倒して動かす方法 |
傾斜移動の場合、犬歯の根は十分に後方に移動しないため、整った前歯のラインを作ることが難しくなります。
さらに、上顎の奥歯周辺の骨はスポンジのように柔らかいため、前歯と奥歯を均等に動かそうとすると、奥歯が前方に動きやすくなります。これを防ぐために、奥歯をしっかり固定する方法が求められます。
かつては、頭に装着する「ヘッドギア」を使って奥歯を固定していましたが、見た目や装着感に問題があったため、現代の治療法ではより洗練された方法を採用しています。


GCオルソリーHPより引用
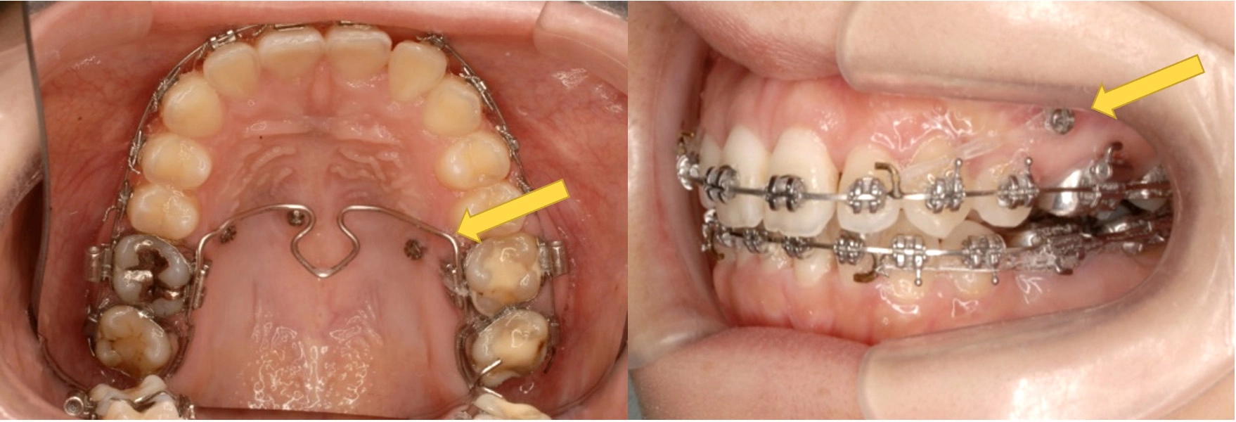
近年、矯正治療で「アンカースクリュー」の使用が増え、より効果的な治療が可能になりました。以下に、当院のアンカースクリュー矯正の特徴をご紹介いたします。
アンカースクリューは大臼歯を確実に固定し、理想的な位置に効率的に動かすことが可能です。これにより、口元の改善をより効果的に行うことができます。
当院では、口の中の安定した部分、具体的には上顎の口蓋部にアンカースクリューを設置します。これにより、しっかりと固定され、トラブルのリスクが低減します。
アンカースクリューの設置・除去時は、局所麻酔を使用するため、治療中の痛みを感じにくくなっています。
当院では、ヨーロッパの安全規格(CE認証)及び、日本薬事承認を受けたアンカースクリューを使用しています。これにより、安全性と強度が保証されています。
アンカースクリューは簡単に除去が可能で、除去後の傷はすぐに治るため、数日で治癒し1週間後には小さな跡が残る程度となります。