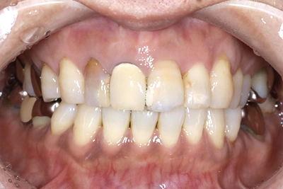
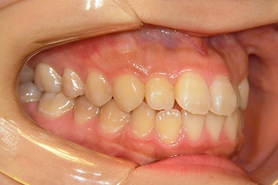
症例1
| 治療前 | 治療後 |
|---|---|
![]() |
![]() |
| 主 訴 | 前歯に隙間がある |
|---|---|
| 治療説明 | 上顎前歯のみマルチブラケット装置にて部分矯正を行いました。 |
| 治療期間 | 約半年 |
| 治療費 | 約30万円 |
| 治療前 | 治療後 |
|---|---|
![]() |
![]() |
| 主 訴 | 前歯に隙間がある |
|---|---|
| 治療説明 | 上顎前歯のみマルチブラケット装置にて部分矯正を行いました。 |
| 治療期間 | 約半年 |
| 治療費 | 約30万円 |
| 治療前 | 治療後 |
|---|---|
![]() |
![]() |
| 主 訴 | 前歯に隙間がある |
|---|---|
| 治療説明 | 上下マウスピース型カスタムメイド矯正装置(製品名インビザライン 完成物薬機法対象外)にて前歯の部分矯正を行い、スペースを閉鎖しました。 |
| 治療期間 | 約1年 |
| 治療費 | 約70万円 |
| 治療前 | 治療後 |
|---|---|
![]() |
![]() |
![]() |
![]() |
| 主 訴 | 前歯が一本逆になっている |
|---|---|
| 治療説明 | 上顎前歯のみマルチブラケット装置にて部分矯正を行いました。 |
| 治療期間 | 約1年 |
| 治療費 | 約30万円 |
| 治療前 | 治療後 |
|---|---|
![]() |
![]() |
![]() |
![]() |
| 主 訴 | 上の前歯がガタガタしている |
|---|---|
| 治療説明 | 上の前歯のみマルチブラケット装置で部分矯正を行いました。 |
| 治療期間 | 約1年 |
| 治療費 | 約40万円 |
| 治療前 | 治療後 |
|---|---|
![]() |
![]() |
| 主 訴 | 上の前歯がずれている |
|---|---|
| 治療説明 | 上の前歯のみマルチブラケット装置で部分矯正を行いました。 |
| 治療期間 | 約1年 |
| 治療費 | 約35万円 |
| 治療前 | 治療後 |
|---|---|
![]() |
![]() |
| 主 訴 | 上の前歯の角度が気になる |
|---|---|
| 治療説明 | 上の前歯のみマルチブラケット装置で部分矯正を行い、変色歯はセラミッククラウンで治療しました。 |
| 治療期間 | 約1年 |
| 治療費 | 約35万円 |
| 治療前 | 治療後 |
|---|---|
![]() |
![]() |
| 主 訴 | 下の前歯がガタガタしている |
|---|---|
| 治療説明 | 下顎前歯のみマルチブラケット装置で部分矯正を行いました。 |
| 治療期間 | 約1年 |
| 治療費 | 約30万円 |
| 治療前 | 治療後 |
|---|---|
![]() |
![]() |
| 主 訴 | 上の前歯がずれている |
|---|---|
| 治療説明 | 上顎前歯のみマルチブラケット装置にて部分矯正を行いました。 |
| 治療期間 | 約半年 |
| 治療費 | 約30万円 |