WEB予約
お電話
LINE歯並び相談
Instagram
Youtube

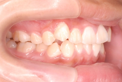
症例1

治療前 治療後
年齢・性別 12歳女性
主 訴 前歯がガタガタしている
治療説明 上下マルチブラケット装置を用い、非抜歯にて治療しました。
抜歯部位 非抜歯
治療期間 約2年
治療費 約80万円
一般的なリスク・副作用
  • 初めは矯正装置による不快感・痛み等がございます。
  • 歯の動き方には個人差があるため治療期間が延長する可能性がございます。
  • 治療中は、装置が付いているため歯が磨きにくくなります。むし歯や歯周病のリスクが高まりますので、丁寧に磨いたり、定期的なメンテナンスを受けたりすることが重要です。また、歯が動くと隠れていたむし歯が見えるようになることもあります。
  • 装置が外れた後、保定装置を指示通り使用しないと後戻りが生じる可能性が高くなります。
  • 矯正歯科治療は、一度始めると元の状態に戻すことは難しくなります。

症例2

治療前 治療後
年齢・性別 18歳男性
主 訴 前歯がガタガタしている
治療説明 上下マルチブラケット装置にて、上下小臼歯抜歯を行い治療しました。
抜歯部位 上下顎両側4抜歯
治療期間 約3年
治療費 約80万円
一般的なリスク・副作用
  • 初めは矯正装置による不快感・痛み等がございます。
  • 歯の動き方には個人差があるため治療期間が延長する可能性がございます。
  • 治療中は、装置が付いているため歯が磨きにくくなります。むし歯や歯周病のリスクが高まりますので、丁寧に磨いたり、定期的なメンテナンスを受けたりすることが重要です。また、歯が動くと隠れていたむし歯が見えるようになることもあります。
  • 装置が外れた後、保定装置を指示通り使用しないと後戻りが生じる可能性が高くなります。
  • 矯正歯科治療は、一度始めると元の状態に戻すことは難しくなります。

症例3

治療前 治療後
年齢・性別 14歳女性
主 訴 前歯がガタガタしている
治療説明 上下マルチブラケット装置を用い、非抜歯にて治療しました。
抜歯部位 非抜歯
治療期間 約2年半
治療費 約80万円
一般的なリスク・副作用
  • 初めは矯正装置による不快感・痛み等がございます。
  • 歯の動き方には個人差があるため治療期間が延長する可能性がございます。
  • 治療中は、装置が付いているため歯が磨きにくくなります。むし歯や歯周病のリスクが高まりますので、丁寧に磨いたり、定期的なメンテナンスを受けたりすることが重要です。また、歯が動くと隠れていたむし歯が見えるようになることもあります。
  • 装置が外れた後、保定装置を指示通り使用しないと後戻りが生じる可能性が高くなります。
  • 矯正歯科治療は、一度始めると元の状態に戻すことは難しくなります。

症例4

治療前 治療後
年齢・性別 17歳女性
主 訴 前歯がガタガタしている
治療説明 上下マルチブラケット装置を用い、非抜歯にて治療しました。
抜歯部位 非抜歯
治療期間 約2年
治療費 約80万円
一般的なリスク・副作用
  • 初めは矯正装置による不快感・痛み等がございます。
  • 歯の動き方には個人差があるため治療期間が延長する可能性がございます。
  • 治療中は、装置が付いているため歯が磨きにくくなります。むし歯や歯周病のリスクが高まりますので、丁寧に磨いたり、定期的なメンテナンスを受けたりすることが重要です。また、歯が動くと隠れていたむし歯が見えるようになることもあります。
  • 装置が外れた後、保定装置を指示通り使用しないと後戻りが生じる可能性が高くなります。
  • 矯正歯科治療は、一度始めると元の状態に戻すことは難しくなります。

矯正歯科治療に伴う一般的なリスクや副作用について

  1. 最初は矯正装置による不快感、痛み等があります。数日間~1、2 週間で慣れることが多いです。
  2. 歯の動き方には個人差があります。そのため、予想された治療期間が延長する可能性があります。
  3. 装置の使用状況、顎間ゴムの使用状況、定期的な通院等、矯正治療には患者さんの協力が非常に重要であり、それらが治療結果や治療期間に影響します。
  4. 治療中は、装置が付いているため歯が磨きにくくなります。むし歯や歯周病のリスクが高まりますので、丁寧に磨いたり、定期的なメンテナンスを受けたりすることが重要です。また、歯が動くと隠れていたむし歯が見えるようになることもあります。
  5. 歯を動かすことにより歯根が吸収して短くなることがあります。また、歯ぐきがやせて下がることがあります。
  6. ごくまれに歯が骨と癒着していて歯が動かないことがあります。
  7. ごくまれに歯を動かすことで神経が障害を受けて壊死することがあります。
  8. 治療途中に金属等のアレルギー症状が出ることがあります。
  9. 治療中に「顎関節で音が鳴る、あごが痛い、口が開けにくい」などの顎関節症状が出ることがあります。
  10. 様々な問題により、当初予定した治療計画を変更する可能性があります。
  11. 歯の形を修正したり、咬み合わせの微調整を行ったりする可能性があります。
  12. 矯正装置を誤飲する可能性があります。
  13. 装置を外す時に、エナメル質に微小な亀裂が入る可能性や、かぶせ物(補綴物)の一部が破損する可能性があります。
  14. 装置が外れた後、保定装置を指示通り使用しないと後戻りが生じる可能性が高くなります。
  15. 装置が外れた後、現在の咬み合わせに合った状態のかぶせ物(補綴物)やむし歯の治療(修復物)などをやりなおす可能性があります。
  16. あごの成長発育によりかみ合わせや歯並びが変化する可能性があります。
  17. 治療後に親知らずが生えて、凸凹が生じる可能性があります。加齢や歯周病等により歯を支えている骨がやせるとかみ合わせや歯並びが変化することがあります。その場合、再治療等が必要になることがあります。
  18. 矯正歯科治療は、一度始めると元の状態に戻すことは難しくなります。