遠方の日進市より、ホームページをご覧になりご来院くださった患者さんのケースです。
ご本人とご家族が納得されるまでしっかりと話し合いを重ね、デジタル技術と予防ケアを組み合わせることで、非常にスムーズに、そして健康的に治療を終えることができました。
1. 患者さんのご紹介(主訴・お悩み)
19歳 女性
● お住まい
日進市
● 主訴
口が閉じにくい、横顔のEラインが気になる
【ご来院までの経緯】
ご本人は以前より「口元が閉じにくく、無意識だと口が開いてしまう」「横顔などの顔貌(がんぼう)に強いコンプレックスがある」とお悩みでした。当院のホームページをご覧になり、治療方針や雰囲気に興味を持っていただいたことで、日進市という遠方からではありましたが、相談にお越しになりました。

今回の患者さんの場合、治療開始を決断されるまでに、計3回の事前相談を行いました。
● 1回目: 患者さんお一人で来院。まずは悩みをお聞きしました。
● 2回目: ご両親と一緒に来院。
● 3回目: 再度ご両親と来院され、最終決定。
【ご家族の不安とギャップ】
2回目のご相談時にご両親が同席された際、ご両親としては「娘の顔はそんなにおかしくないのでは?」「健康な歯を抜いてまで矯正する必要があるのか?」という、抜歯を伴う矯正治療への強いご心配をお持ちでした。
ご本人の「治したい」という強い意志と、ご両親の「娘の体を守りたい」という愛情の間で、慎重に話し合いを進める必要がありました。
矯正歯科や美容外科などで使われる、横顔の美しさの基準のひとつです。鼻の先端と顎の先端を結んだ線のことを指します。
一般的に、この線よりも唇が少し内側にある、あるいは線上にある状態が美しい横顔(理想的なプロファイル)とされています。口元が前突している(出っ歯など)場合、唇がこのラインを超えてしまうことがあり、矯正治療の診断において重要な指標となります。
2. ご来院時の状態と診断
【お口の状態】
検査の結果、ご本人が気にされていた通り、前歯部の突出感があり、唇を閉じる際にオトガイ(顎の梅干しジワ)に緊張が見られました。
また、口が閉じにくいことによる「口呼吸」の傾向がありました。口呼吸はお口の中が常に乾燥してしまうため、唾液による自浄作用が働きにくく、むし歯になりやすい口腔環境となってしまいます。実際、カリエスリスク(むし歯のリスク)が高い体質であることも判明しました。
【精密検査の実施】
診断のために以下の資料採集を行いました。
● お口の中の写真
● お顔の写真
● レントゲン写真
● 歯型(光学スキャナーによるスキャン)

当院の大きな特徴として、従来の粘土のような冷たくて苦しい型取り(アルジネート印象)は行いません。光学口腔内スキャナーを使用し、高精度なデータを取得しました。
小型カメラでお口の中をスキャンし、歯の形や並びを正確に記録するデジタル機器です。
従来の「オエッ」となるような粘土材(アルジネート印象材)をお口に入れる必要がないため、嘔吐反射が強い方や、従来の型取りが苦手な方でも、負担を少なく歯型を記録することができます。当院では、初診時から治療終了時まで、全ての型取りをこのスキャナーで行っています。
3. 治療計画
診断結果を元に、ご本人とご両親へ治療計画をご提案しました。
【3次元シミュレーションによる可視化】
ご両親の「抜歯への不安」を解消し、ご本人の「キレイになりたい」という希望を具体化するために、口腔内スキャナーで取得したデータを元に3次元シミュレーション(クリンチェック等)を作成しました。
「矯正を行うと、顔貌がどのように変化するのか」をモニター上で事前にイメージしていただくことで、抜歯をした場合のメリット(口元の改善度合い)と、非抜歯の場合の限界を視覚的にご理解いただきました。
その結果、ご両親もご納得され、抜歯を伴うワイヤー矯正治療を行うことに同意をいただきました。


【治療の流れ】
1.装置(ブラケット)の装着
2.抜歯(便宜抜歯)
3.月1回のワイヤー調整とクリーニング
※通常は抜歯をしてから装置をつけますが、今回は「装置を先につけて歯に力をかけ、少し揺らした状態にしてから抜歯をする」という手法をご提案しました。これにより、抜歯時の負担を軽減し、スムーズに歯を抜くことが可能になります。
4. 治療時(経過とケア)
治療期間中は月に1回、日進市から通院していただきました。

【患者さんの頑張り】
今回の治療が想定よりも早く、スムーズに進んだ最大の理由は、患者さんご自身の「協力度の高さ」にあります。
● ゴム掛け(顎間ゴム): 上下の歯の噛み合わせを整えるためのゴム掛けを、サボらず毎日しっかりと行ってくれました。
● 丁寧なケア: 装置の脱離(外れること)が一度もありませんでした。これは、硬いものを避けるなどの注意をしっかり守ってくれた証拠です。
【当院のサポート:パウダーメンテナンス】
もともと「むし歯になりやすい体質」に加え、矯正装置がつくとさらに歯磨きが難しくなります。そこで当院では、毎月の調整時にパウダーメンテナンスを含む徹底的な口腔ケアを行いました。
その結果、リスクが高かったにも関わらず、治療中に新しいむし歯は1本もできませんでした。
むし歯治療による中断がなかったことも、治療期間の短縮に大きく繋がりました。
特殊なパウダーと水をジェット噴射で歯に吹き付け、ブラシでは届かない細かい汚れや着色、細菌の膜(バイオフィルム)を短時間で徹底的に除去するクリーニング方法です。
歯や歯ぐきを傷つけにくく、矯正装置の隙間などの複雑な部分もキレイにできるため、矯正中のむし歯・歯周病予防に非常に効果的です。
5. 治療後・予後
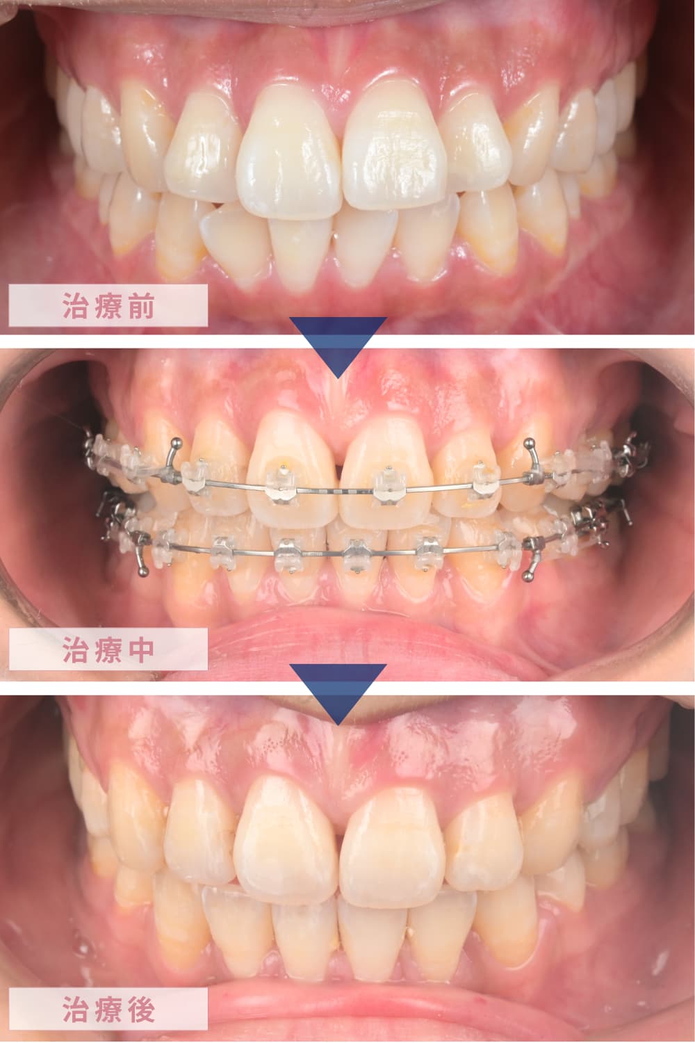
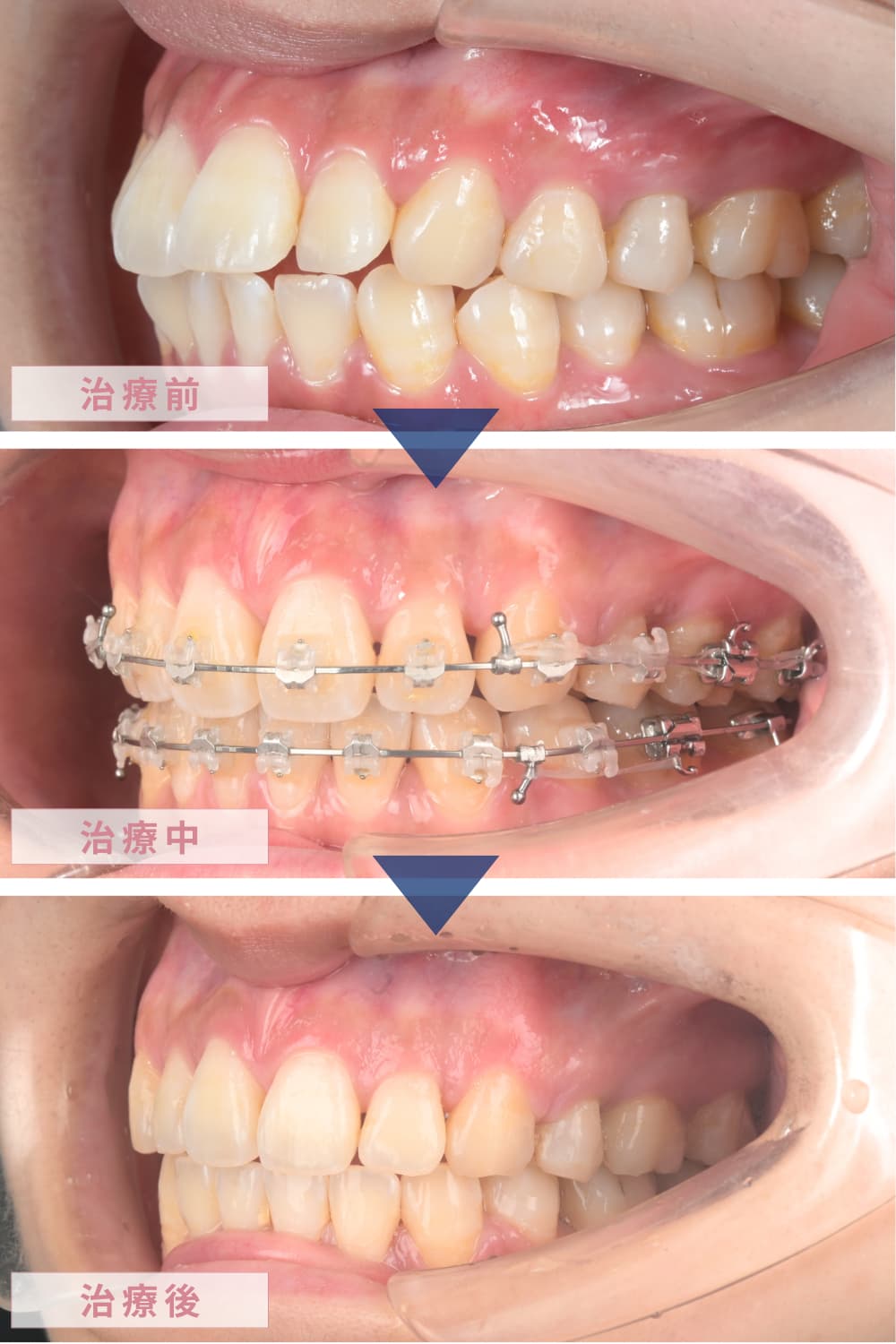
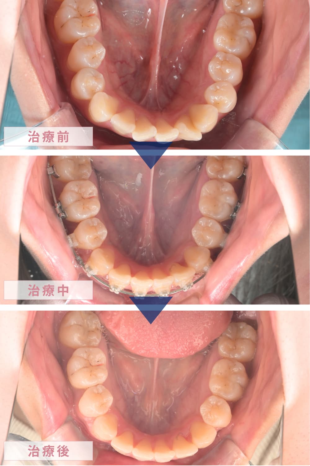
【治療結果】
約30回の通院を経て、動的治療(歯を動かす期間)が終了しました。
治療後は、ご本人の一番の悩みであった「口元の突出感」がなくなり、力を入れなくても自然に口が閉じられるようになりました。横顔のEラインも非常に美しく整い、コンプレックスが解消されたことで、患者さんの表情がとても明るくなられたのが印象的でした。
【機能面の改善】
見た目だけでなく、自然に口が閉じられるようになったことで、長年の癖であった「口呼吸」から「鼻呼吸」へと改善されました。
口呼吸による口腔内の乾燥が防げるようになったことは、今後のむし歯・歯周病リスクを下げる上でも大きな成果です。
【現在の状態】
現在は、後戻りを防ぐためのマウスピース型リテーナーを装着していただいています。
「せっかくキレイになった歯並びを絶対に崩したくない」という意識が高く、リテーナーの使用状況も良好です。
矯正治療で動かした歯は、装置を外した直後は元の位置に戻ろうとする力が働きます(後戻り)。これを防ぎ、歯を新しい位置に安定させるための装置です。
当院では目立ちにくいマウスピースタイプなどを使用し、キレイな歯並びを長く維持できるようサポートしています。
【担当医より】
遠方からの通院、本当にお疲れ様でした。
最初はご両親のご心配もありましたが、3次元シミュレーションなどを通じて治療のゴールを共有できたことで、ご納得いただいた上で治療に進んでいただけました。
何より、患者さんご自身がゴム掛けや日々のケアを頑張ってくださったことが、むし歯ゼロ・早期治療終了という最高の結果に繋がりました。これからは自信を持って、素敵な笑顔で過ごしてくださいね。
矯正治療、まずは「知ること」から始めませんか?
当院では、患者さん一人ひとりの悩みやご家族の不安に寄り添い、光学スキャナーやシミュレーションを用いた「目に見えるわかりやすい説明」を心がけています。
「口が閉じにくい」「横顔が気になる」といったお悩みがある方は、ぜひ一度ご相談ください。
【治療経過画像】
《正面》

《側方》

《上顎》

《下顎》

《横顔》

監修:すすむ歯科・矯正歯科
院長 近藤 崇伸
経歴
2002年 愛知県立瑞陵高等学校卒業
2009年 長崎大学歯学部 卒業
名古屋大学医学部歯科口腔外科 入局
2011年 医療法人ナディアパークデンタルクリニック 勤務
2013年 長崎大学大学院医歯薬学総合研究科歯科矯正分野 入局
2016年 長崎大学大学院医歯薬学総合研究科 修了
長崎大学客員研究員・臨床承認医
すすむ歯科・矯正歯科勤務
名古屋、大阪、長崎の複数のクリニックにて矯正治療担当
副院長 近藤 康次
経歴
2009年 私立東海高等学校 卒業
2016年 鹿児島大学歯学部 卒業
名古屋大学医学部附属病院歯科口腔外科 入局
2018年 東海市開業医勤務
2020年 すすむ歯科・矯正歯科勤務
