こんにちは、すすむ歯科・矯正歯科です。
今回は、当院で行った小児矯正(I期治療)の症例をご紹介します。 「前歯がガタガタしている」「前歯が出ている」ことを気にされて来院された8歳の女の子のケースです。
今回は、お子様向けのカスタムメイド型マウスピース矯正装置「インビザラインファースト」を使用し、歯並びだけでなく「顔立ち(骨格)」のバランスも整える治療を行いました。
👤【こんな方におすすめ】
この症例は、以下のようなお悩みを持つお子様や親御様に特に参考になります。
- 6歳〜10歳(混合歯列期)のお子様
- 「出っ歯」が気になっている(上の歯が出ている、または下の顎が小さく後ろに下がっている)
- 歯の生えるスペースがなく、ガタガタしている(叢生)
- ワイヤー矯正の見た目を嫌がっている
- できるだけ将来「歯を抜かない」矯正を目指したい
📌【この症例のポイント】
今回の治療成功の鍵は、単に歯を並べるだけでなく、「成長を利用した骨格的なアプローチ」を行った点にあります。
- インビザラインファーストによる「下顎前方誘導」 出っ歯の原因の一つであった「下顎の後退(顎が小さい)」に対し、下顎前方成長誘導機能(MA)を使用しました。顎を自然に前方へ誘導し、骨格レベルで出っ歯の改善と横顔の美しさ(Eライン)を獲得しました。
- 歯列拡大による「非抜歯」アプローチ 狭かった歯列(V字型)を横に広げる(拡大)ことで、永久歯が生えるためのスペースを確保しました。
- 痛みやストレスの少ない治療 透明なマウスピースは目立たず、取り外し可能なため、普段通りの生活を送りながら治療を進められました。
🔍【初診時情報】
患者情報:8歳女の子
主訴:歯並びのガタガタ、前歯が出ている
診断名:叢生(そうせい)、上顎前突
使用装置:カスタムメイド型マウスピース矯正装置「インビザラインファースト」
抜歯部位:なし
治療期間:約2年
費用(当時の金額):
・検査診断料:55,000円
・ワイヤー矯正:596,000円
・調整料(2~3ヶ月ごと):5,500円/回
・保定装置:33,000円
【Before/Afterで見る歯並びの変化】
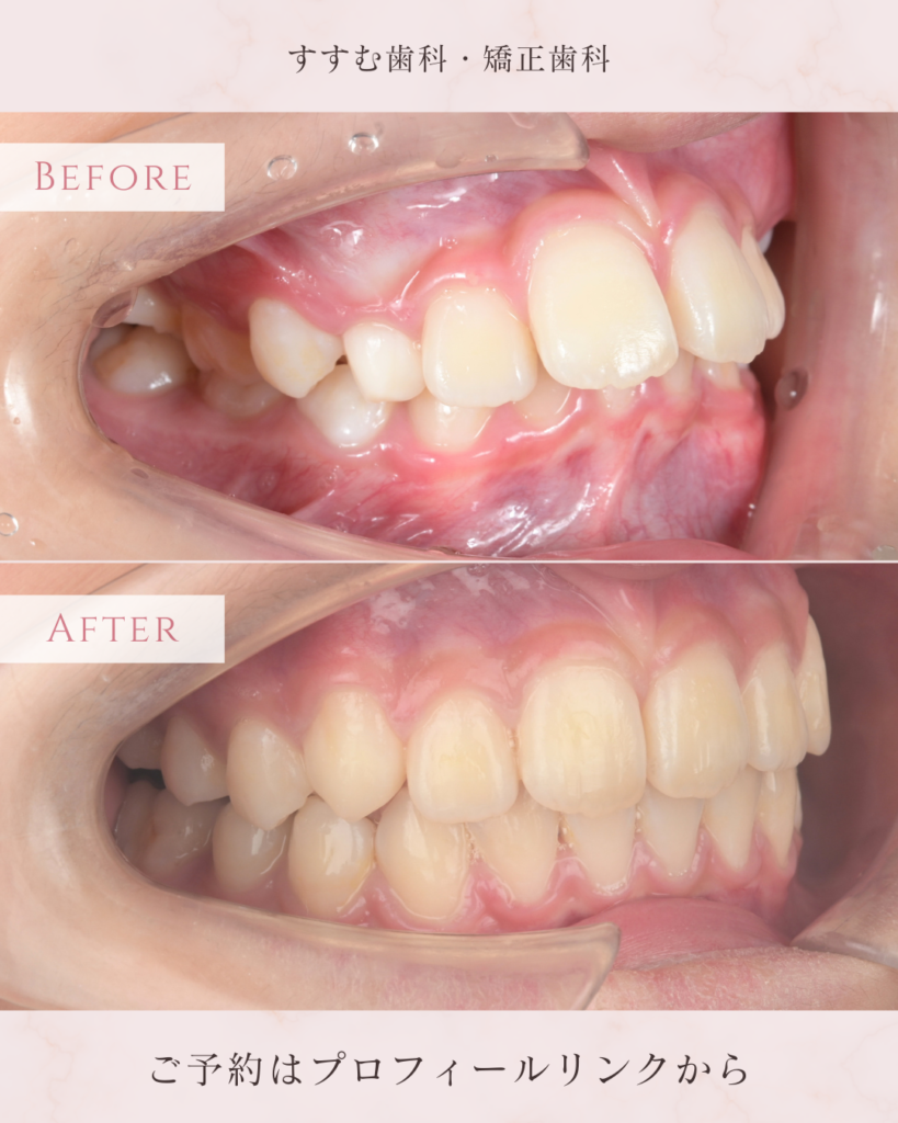
【1】横顔の変化(Eライン改善)

もっとも大きな変化が見られたのが横顔です。 治療前は、上の前歯が出ており、下顎が少し後ろに下がっている状態でした。 治療後は、上の前歯が下がり、さらに下顎が前方へ誘導されたことで、鼻先と顎先を結ぶ「Eライン」が整い、美しい横顔になりました。口元の突出感が改善され、口も閉じやすくなっています。
【2】正面の変化

治療前は、上の前歯が大きくハの字に開き、前方へ出ていました。 治療後は、前歯が正しい角度でまっすぐに並び、出っ歯感が解消されました。ガタガタ(叢生)もきれいに整っています。
【3】側方咬合の変化

横から見ると、治療前は上の歯が下の歯に対して大きく前に出ていましたが、治療後は適切な被蓋(ひがい:上の歯が下の歯を覆う量)となり、正しい噛み合わせになっていることが分かります。
【4】上顎の咬合面

治療前は、歯列のアーチが狭くV字型をしており、これから生えてくる永久歯のためのスペースが不足していました。 治療後は、左右にきれいに拡大され、理想的なU字型のアーチになりました。永久歯が並ぶための土台が整いました。
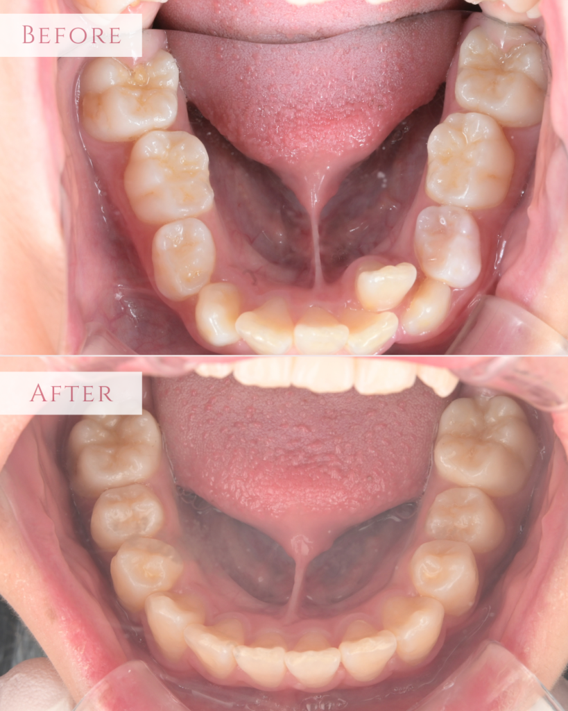
【5】下顎の咬合面

下顎も同様にスペースが不足し、前歯がガタガタ(叢生)していました。 治療後は、歯列が拡大されてスペースが生まれ、重なり合っていた前歯がきれいに並びました。
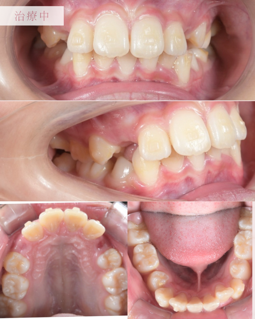
【6】治療中の様子

治療中の口腔内写真です。 透明で薄いマウスピース装置を使用するため、装着していてもほとんど目立ちません。学校生活でもお友達に気づかれにくく、違和感なく過ごしていただけました。
【担当医コメント】
今回の症例は、成長期にあるお子様だからこそ可能な「骨格へのアプローチ」が非常に効果的でした。 カスタムメイド型マウスピース矯正装置「インビザラインファースト」を使用することで、歯列の拡大と同時に、下顎の前方誘導を行うことができ、抜歯をすることなく機能的で美しい噛み合わせを獲得できました。
単に「歯を並べる」だけでなく、「顎の成長バランスを整える」ことができるのが、この時期の矯正治療(I期治療)の大きな価値です。
お子様の「出っ歯」や「顎が小さい」といったお悩みも、成長期の適切な介入で大きく改善できる可能性があります。ぜひお気軽にご相談ください。
名古屋市天白区の歯医者 すすむ歯科・矯正歯科の矯正治療
名古屋市天白区の歯医者すすむ歯科・矯正歯科では大人から子どもまで、患者さんのニーズに合わせた様々な矯正治療をメニューを用意しています。
《大人の矯正治療》
歯並びや咬み合わせはもちろん、唇や横顔のラインの美しさまで考えた矯正治療を提供しています。
①ワイヤー矯正
重度の歯並びの矯正が可能です。
すすむ歯科・矯正歯科では「クリアブラケット」を使用した目立ちにくい矯正治療が可能です。口ゴボ治療にも対応しています。
②舌側矯正
矯正装置が見えにくい、むし歯になりにくい矯正治療です。
③マウスピース矯正(インビザライン矯正)
取り外しができ、目立ちにくいマウスピースを用いて歯を動かす矯正治療です。
④部分矯正
前歯の気になる箇所だけを部分的に治療することも可能です。
▼大人の矯正治療の詳細はこちら
https://susumu-dental.com/kyousei/ortho/
《子どもの矯正治療》
子どもの矯正治療はキレイな永久歯の歯並びのために大切です。
矯正治療を始める時期についてもお気軽にご相談ください。
①マウスピース矯正(インビザライン・ファースト)
多くの種類の不正咬合に適応しています。途中で生え変わりが起こっても治療が行えます。
②歯列矯正用咬合誘導装置(プレオルソ)
口周りの筋肉バランスを整え、正しい顎の発育・歯列の発達を促します。
③機能的顎矯正装置(ビムラー)
下顎が小さい出っ歯の症状を改善する装置です。
④マルチブラケット
捻れやガタガタの歯並びを整えるワイヤー式の矯正装置です。
▼子どもの矯正治療の詳細はこちら
https://susumu-dental.com/kyousei/kids/
「インビザライン」「インビザライン・ファースト」による矯正治療においては遠隔リモート矯正「インビザライン・バーチャルケア.AI」を導入しています。ご自宅でお口の写真を撮影し、送付するだけで、通常1~2か月おきの通院を3~4か月おきにすることができ、通院回数を半分以下にすることができます。お忙しい方や、お子さんを連れてのご来院が大変な親御さんからご好評いただいています。
▼「インビザライン・バーチャルケア.AI」の詳細はこちら
https://susumu-dental.com/kyousei/mouse_space/remote.html
【矯正治療 リスクや副作用について】
- 最初は矯正装置による不快感、痛み等があります。数日間~1,2週間で慣れることが多いです。
- 歯の動き方には個人差があります。そのため、予想された治療期間が延長する可能性があります。
- 装置の使用状況、顎間ゴムの使用状況、定期的な通院等、矯正治療には患者さんの協力が非常に重要であり、それらが治療結果や治療期間に影響します。
- 矯正治療中には装置が付いているため歯が磨きにくくなります。むし歯や歯周病のリスクが高まり ますので、しっかり磨いてもらったり、メンテナンスを受けてもらったりする必要があります。
- 歯を動かすことにより歯根が吸収して短くなることがあります。また、歯ぐきがやせて下がることがあります。
- ごくまれに歯が骨と癒着していて歯が動かないことがあります。
- ごくまれに歯を動かすことで神経が障害を受けて壊死することがあります。
- 治療途中に金属アレルギーの症状が出ることがあります。
- 治療中に「顎関節で音が鳴る、あごが痛い、口が開けにくい」などの顎関節症状が出ることがあります。
- 様々な問題により、当初予定した治療計画を変更する可能性があります。
- 歯の形を修正したり、咬み合わせの微調整を行ったりする可能性があります
- 矯正装置を誤飲する可能性があります。
- 装置を外す時に、エナメル質に微小な亀裂が入る可能性や、かぶせ物(補綴物)の一部が損傷する可能性があります。
- 装置が外れた後、保定装置を指示通り使用しないと後戻りが生じる可能性が高くなります。
- 装置が外れた後、現在の咬み合わせに合った状態のかぶせ物(補綴物)やむし歯の治療(修復物)などをやりなおす可能性があります。
- 顎の成長発育によりかみ合わせや歯並びが変化する可能性があります。
- 治療後に親知らずが生えて、凸凹が生じる可能性があります。加齢や歯周病等により歯を支えている骨がやせるとかみ合わせや歯並びが変化することがあります。その場合、再治療等が必要になることがあります。
- 矯正歯科治療は、一度始めると元の状態に戻すことは難しくなります。