今回は、名古屋市港区からお車で40分ほどかけて通院してくださった、25歳女性(看護師)の患者さんの矯正記録をご紹介します。「口元が閉じにくい」「前歯のガタガタを治したい」というお悩みに対し、当院が導入している特許装置「SHU-lider®(シューライダー)」を用いてアプローチした症例です。
1. 患者さんのご紹介(主訴・お悩み)
今回の患者さんは、お仕事で多忙な日々を送る看護師さんです。
以前、別の歯医者で「前歯で食べ物が噛みきれない」と相談された際、具体的な矯正の提案がなかったという経験をお持ちでした。
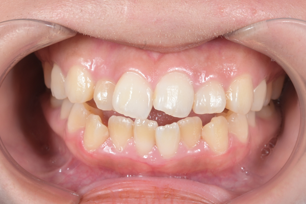
しかし、周囲から「上下の歯が出ている」と指摘されたり、ご自身でも「口ゴボ(口元の突出)」による閉じにくさを感じたり、さらには歯ぐきの痛みまで出てきたことから、根本的な解決を求めて当院を受診されました。
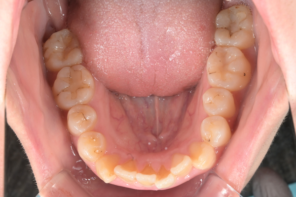
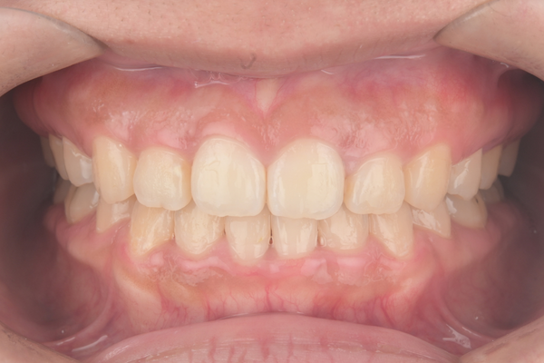
2. ご来院時の状態と診断
精密検査の結果、以下の診断となりました。
●叢生(そうせい):歯が並ぶスペースが不足し、ガタガタが生じている状態。
●上下顎前突(じょうかがくぜんとつ):上下の前歯が外側(唇側)に傾斜し、口元が前方に突き出している状態。
患者さんは「口元をしっかり下げたい」「Eラインを綺麗にしたい」という強いご希望をお持ちでした。
●叢生(そうせい):顎と歯のサイズのアンバランスにより、歯が重なり合って生えている状態です。
●上下顎前突:横から見た時に口元が突出している状態。審美面だけでなく、口が閉じにくいため口腔内が乾燥しやすく、歯肉炎のリスクも高まります。





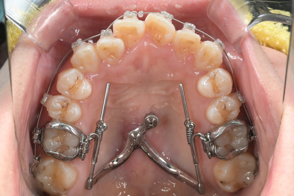
3. 治療計画:特許装置「SHU-lider®」による精密矯正
患者さんの理想を叶えるため、上下左右の第1小臼歯(4番)を計4本抜歯し、スペースを確保した上で、当院の強みである「SHU-lider®(シューライダー)」を導入する計画を立てました。
口ゴボ改善の鍵:SHU-lider®装置とは
当院では、SHU-lider®(シューライダー)という矯正装置を使用しています。これは、歯を支える小さなネジ(アンカースクリュー)と組み合わせて使う装置で、口元の突出感(口ゴボ)の改善を目指す際に用いられる方法の一つです。
SHU-lider®は、ドイツと日本の研究をもとに開発され、国際的な矯正ラボであるASOインターナショナルと共同で作られました。日本では特許も取得されている装置です。
奥歯の移動を精密にコントロールできるように設計されており、口元のバランスを整える矯正治療で使用されることがあります。

この装置はデジタルCAD/CAM技術を駆使して製造され、あらゆる歯の移動に対応可能です。従来のワイヤー矯正やインビザラインと組み合わせて使用することで、より効率的に歯の移動をサポートすることが期待できます。
従来の治療法との違い
従来の矯正では、ワイヤーの硬さを変えながらゆっくり歯を動かしますが、不要な歯の傾斜や無駄な動きが生じることがありました。
特に「口ゴボ」の改善には、犬歯を「歯冠(頭の部分)」だけでなく、「歯根(根っこ)」からしっかりと後方に移動させる「歯体移動」が不可欠です。
●傾斜移動:歯冠だけが倒れて動く。根が残るため、綺麗な前歯のラインが作りにくい。
●歯体移動:歯全体を平行に後方へ動かす。これが理想的な仕上がりを生みます。
上顎の奥歯周辺の骨は柔らかいため、前歯を下げようとすると逆に奥歯が前に引っ張られてしまいがちです。かつては「ヘッドギア」という頭に被る大きな装置で固定していましたが、現在はSHU-lider®とアンカースクリューを用いることで、目立たず確実に奥歯を固定し、前歯を理想の位置まで下げることが可能になりました。
▼特許装置「SHU-lider®」の詳細はこちら
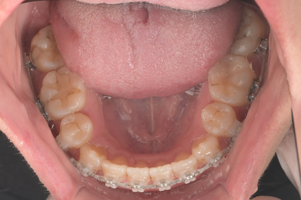
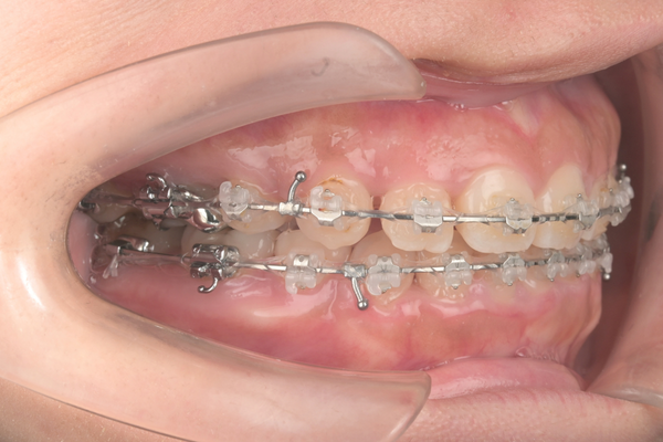
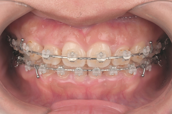
4. 治療時:痛みへの配慮とデジタルコントロール
治療はマルチブラケット装置で行いました。
痛みを軽減する工夫
看護師としてお忙しい患者さんの負担を減らすため、「セルフライゲーションブラケット」を採用しました。
ワイヤーとの摩擦が少なく、弱い力で効率的に歯を動かせるため、「締め付け感はあるが激痛ではない」と、無理なく通院を継続いただけました。
治療のポイント
SHU-lider®を用いて、犬歯と大臼歯の位置を管理しながら治療を進めました。3Dプリンターで作製された装置を使用し、抜歯によって生じたスペースを利用して前歯を後方へ移動させています。
症例によっては、この装置により非抜歯という選択肢が検討される場合もありますが、今回は口元の変化を考慮し、治療計画に基づき抜歯と併用して前歯の後方移動を行いました。
●アンカースクリュー:歯ぐきの骨に一時的に埋め込む小さなネジ。歯を動かす際の絶対的な「支柱」となります。
●CAD/CAM技術:コンピュータ上で設計し、自動でお口にぴったりの装置を削り出したりプリントしたりする高度な技術です。





5. 治療後・予後:手に入れた自信と理想の横顔
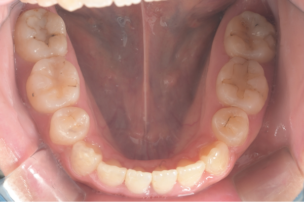
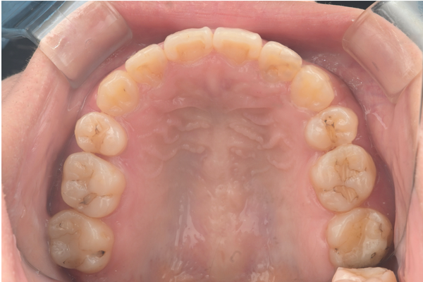
2年半の治療を経て、装置が外れました。
● 状態の変化:前歯のガタガタは大きく改善し、上下の噛み合わせも整いました。
● 患者さんの喜び:何より、無理なく口が閉じられるようになったこと、そして「Eラインが綺麗になった!」と横顔の変化に大変感動されていました。
「前歯で食べ物が噛めるようになった」という機能面の改善も、看護師として働く日々の中で大きな活力になっているとのことです。





治療費・リスク・副作用について
● 治療期間:2年半
● 総額費用(目安):
診断料:55,000円
装置代:968,000円
調整料:5,500円/回
検査・保定料:55,000円
● リスク・副作用:
矯正中は歯磨きがしにくいため、虫歯や歯周病のリスクが高まります。
歯の移動に伴う一時的な痛み、違和感が生じることがあります。
アンカースクリュー周囲を清潔に保たないと炎症が起きる場合があります。
治療後は保定装置(リテーナー)の装着を怠ると「後戻り」が生じます。
「自分の口元も変わるのかな?」とお悩みの方は、ぜひ一度当院へご相談ください。特許装置SHU-lider®とデジタル技術を組み合わせ、お口の状態に合わせた治療計画をご提案いたします。
今回の症例や、SHU-lider®装置の詳細について気になる方は、お気軽にお問い合わせください。
監修:すすむ歯科・矯正歯科
院長 近藤 崇伸
経歴
2002年 愛知県立瑞陵高等学校卒業
2009年 長崎大学歯学部 卒業
名古屋大学医学部歯科口腔外科 入局
2011年 医療法人ナディアパークデンタルクリニック 勤務
2013年 長崎大学大学院医歯薬学総合研究科歯科矯正分野 入局
2016年 長崎大学大学院医歯薬学総合研究科 修了
長崎大学客員研究員・臨床承認医
すすむ歯科・矯正歯科勤務
名古屋、大阪、長崎の複数のクリニックにて矯正治療担当
副院長 近藤 康次
経歴
2009年 私立東海高等学校 卒業
2016年 鹿児島大学歯学部 卒業
名古屋大学医学部附属病院歯科口腔外科 入局
2018年 東海市開業医勤務
2020年 すすむ歯科・矯正歯科勤務